时光如梭 岁月如流
随着年龄的增长 身体也越来越不如意了
而与吃喝息息相关的口腔问题更是首当其冲
“人老了要掉牙”、“缺牙好多年,不镶了”
“每天刷牙,没必要洁牙”……
这种意识无疑更增加了口腔健康的隐患
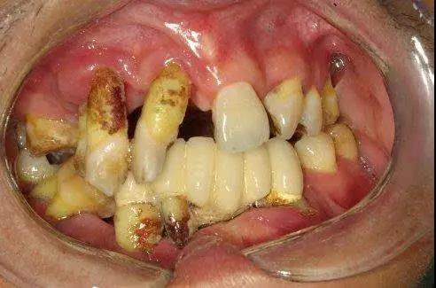
现在,让我们细数一下老年人的四大口腔问题。
龋病——可诱发多种严重疾病

龋病在老年人群的发病率很高,60%以上的老人患有不同程度的龋病,平均每人有两个以上龋齿,且以牙根面龋为主。
牙周病——令心血管病成倍增加

牙周病是老年人最常见的口腔疾病之一,也是造成老年人牙缺失的主要原因之一,发病率高达70%以上。严重的牙周炎作为一个感染病灶,会危及心脏、肺和肾等重要脏器。
口腔黏膜疾病——溃烂疼痛折磨不小

口腔组织随着年龄的增大,生理功能会逐渐退化,免疫功能降低,系统性疾病也会增多。在这一系列变化下,老年人更容易发生口腔黏膜病,患者的口腔黏膜长期处于溃烂及疼痛之中,严重影响生活质量。
口腔癌——直接威胁生命

口腔癌是指发生在口腔的唇颊、腭、舌、口底、牙龈黏膜及上下颌骨的癌,其发病率随年龄增长而增高。

针对这种情况,中国科学院大学武汉存济口腔医院在3月7日邀请了来自木兰怡园的近50位老年人到院参加口腔健康知识宣讲,特别是针对老年人容易出现的口腔疾病做了重点科普,并前往各科室做口腔检查。
“原来老了也能有一口好牙!”“洁牙的好处这么多!”
“我也要和张大姐说说,口腔健康,才能全身健康”
在科普之后,老人们兴高采烈,议论纷纷。
“拥有正确的口腔保健意识才能拥有一口健康的牙齿
让每个人都有一口好牙!
是我们的孜孜不倦努力的方向!”
中国科学院大学武汉存济口腔医院在此特别提醒:
老年人加强口腔保健,生活中要注重以下几个诀窍——
1、养成刷牙及漱口的良好习惯,保持口腔卫生;
2、戒烟戒酒,进食细嚼慢咽;
3、牙齿缺失及时镶牙修复,假牙不合适要重配;
4、发现有口腔病变,要及时主动就医;
5、长期卧床生活不能自理者,要有专业的口腔护理;
6、每年至少一次口腔健康检查;
7、饮食营养均衡,选用富含维生素的食物进行搭配。